By using this site, you agree to the Privacy Policy and Terms of Use.
Accept
ن والقلمن والقلمن والقلم
  • الرئيسية
  • من نحن
  • لحظة بلحظة
  • المقالات
Reading: كيف نجح فريق سعودي في إجراء أحد أندر التدخلات القلبية.. زراعة صمام رئوي في حائل – أخبار السعودية – ن والقلم
Share
Sign In
Notification Show More
Font ResizerAa
ن والقلمن والقلم
Font ResizerAa
  • الرئيسية
  • من نحن
  • لحظة بلحظة
  • المقالات
Search
  • الرئيسية
  • من نحن
  • لحظة بلحظة
  • المقالات
Have an existing account? Sign In
© 2022 Foxiz News Network. Ruby Design Company. All Rights Reserved.
ن والقلم > الصحيفة > لحظة بلحطة > كيف نجح فريق سعودي في إجراء أحد أندر التدخلات القلبية.. زراعة صمام رئوي في حائل – أخبار السعودية – ن والقلم
لحظة بلحطة

كيف نجح فريق سعودي في إجراء أحد أندر التدخلات القلبية.. زراعة صمام رئوي في حائل – أخبار السعودية – ن والقلم

ن والقلم
Last updated: 2025-12-09 12:26 صباحًا
ن والقلم
Share
2 Min Read
SHARE

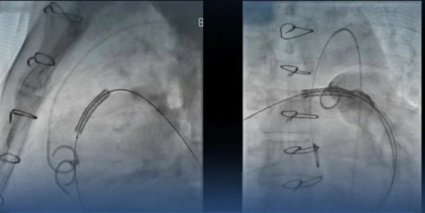
سجّل التجمع الصحي في منطقة حائل إنجازاً طبياً جديداً بعد نجاح تركيب أول صمام رئوي عبر القسطرة في المناطق الشمالية في مستشفى الملك سلمان التخصصي، ضمن عملية قادها استشاري القلب والقسطرة ومشرف مسار القلب في تجمع حائل الصحي الدكتور نايف الغصاب، بمشاركة طاقم سعودي متخصص في جراحات القلب التداخلية.

وقال الدكتور الغصاب: بحمد الله، نجحنا في تركيب أول صمام رئوي في المناطق الشمالية لعلاج تضيق وارتجاع الصمام الرئوي. تمثل هذه الخطوة نقلة نوعية في نجاح التجمع الصحي في رعاية مرضى العيوب الهيكلية وصمامات القلب. هذا التطور يعكس حرص حكومتنا الرشيدة لدعم توفير خدمات علاجية مميزة للمواطن.

العملية جاءت بجهود فريق محلي مؤهل في التخدير والأشعة والتمريض التداخلي، ما يؤكد قدرة الكفاءات السعودية على قيادة الإجراءات عالية الدقة.

ويعمل المستشفى على استقطاب الأطباء الاستشاريين السعوديين، خصوصاً أبناء المنطقة، في خطوة تهدف إلى إقفال فجوة هجرة العقول، وإعادة الخبرات التي خدمت لسنوات في مراكز دولية مرجعية.

هذا التطور يأتي امتداداً للرؤية التي يدعمها أمير منطقة حائل الأمير عبدالعزيز بن سعد، الهادف إلى ترسيخ موقع مستشفى الملك سلمان التخصصي كإحدى أعرق المؤسسات الطبية الضخمة في شمال المملكة، عبر تمكين التخصصات الدقيقة، وتوسيع الخدمات التداخلية، وتحويل حائل إلى مركز إقليمي للرعاية القلبية المتقدمة.

أجريت العملية باستخدام تصوير متقدم ودعامات عالية الضغط تضمن الدقة والنتائج المثالية، ليعزز هذا النجاح مكانة مركز القلب كوجهة علاجية رائدة في أمراض العيوب الهيكلية وصمامات القلب.

You Might Also Like

صدمة في أثينا.. مسلح ثمانيني يطلق النار داخل مكتب ضمان اجتماعي ومحكمة – ن والقلم

«الدفاع الروسية» تعلن إحباط قواتها إنقلاباً على السلطة في مالي – أخبار السعودية – ن والقلم

السعودية تتقدم إلى المرتبة 17 عالمياً في «التنافسية» – أخبار السعودية – ن والقلم

مصر: حكم قضائي ينهي الجدل حول إقامة السيدات بالفنادق وعقوبة كبيرة للمخالفين – أخبار السعودية – ن والقلم

العوهلي: 139 مليار دولار حجم الاقتصاد الرقمي السعودي – أخبار السعودية – ن والقلم

Sign Up For Daily Newsletter

Be keep up! Get the latest breaking news delivered straight to your inbox.
By signing up, you agree to our Terms of Use and acknowledge the data practices in our Privacy Policy. You may unsubscribe at any time.
Share This Article
Facebook Twitter Copy Link Print
Share
Previous Article الجنسية… حصان طروادة ! – أخبار السعودية – ن والقلم
Next Article الشبل وتعرية الأسد! – أخبار السعودية – ن والقلم
Leave a comment Leave a comment

اترك تعليقاً إلغاء الرد

لن يتم نشر عنوان بريدك الإلكتروني. الحقول الإلزامية مشار إليها بـ *

كن متصلاً بقلمنا

69.1kFollowersFollow
56.4kFollowersFollow
77kFollowersFollow
- مساحة إعلانية -
Ad imageAd image

آخر الأخبار

صدمة في أثينا.. مسلح ثمانيني يطلق النار داخل مكتب ضمان اجتماعي ومحكمة – ن والقلم
لحظة بلحطة 2026-04-28
«الدفاع الروسية» تعلن إحباط قواتها إنقلاباً على السلطة في مالي – أخبار السعودية – ن والقلم
لحظة بلحطة 2026-04-28
السعودية تتقدم إلى المرتبة 17 عالمياً في «التنافسية» – أخبار السعودية – ن والقلم
لحظة بلحطة 2026-04-28
مصر: حكم قضائي ينهي الجدل حول إقامة السيدات بالفنادق وعقوبة كبيرة للمخالفين – أخبار السعودية – ن والقلم
لحظة بلحطة 2026-04-28
ن والقلمن والقلم
Follow US
© 2024 جميع الحقوق محفوظة لدى صحيفة ن والقلم.
Welcome Back!

Sign in to your account

Lost your password?